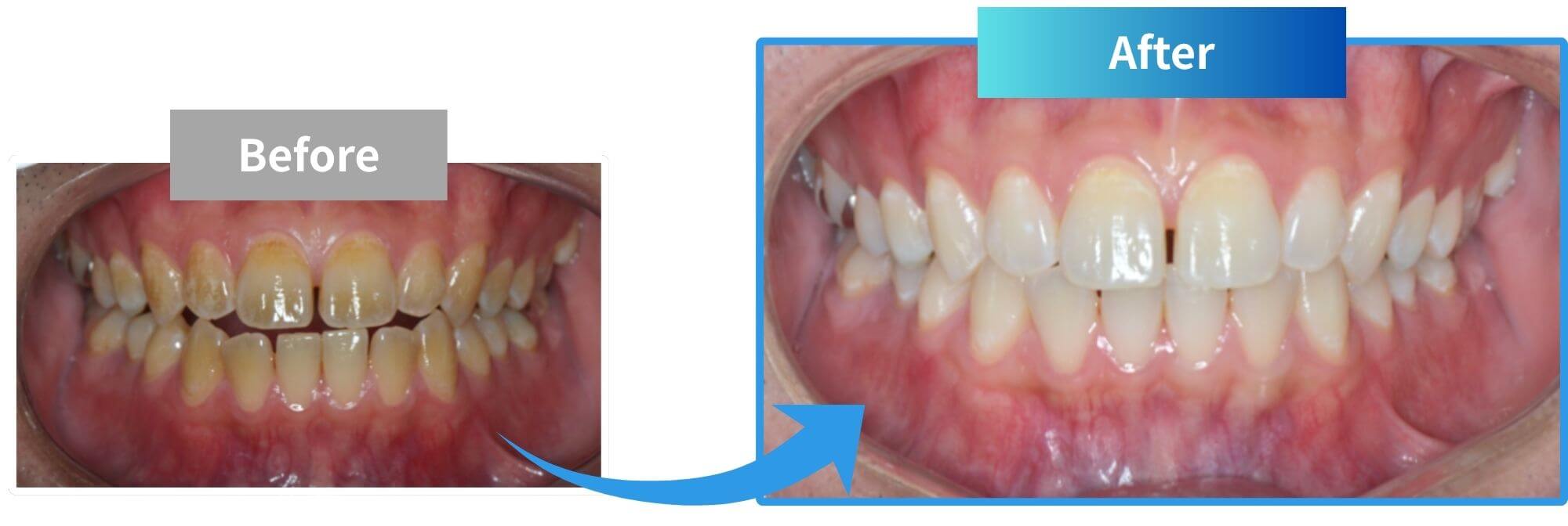
症例 症例4 2026.04.20 LINE note 主訴・動機 歯の黄ばみが気になる。 年齢・性別 20代・男性 施術内容 キラットプレミアムプラン ・オフィスホワイトニング4回 ・ホームホワイトニング2か月分 ・プロフェッショナルクリーニング1回 治療期間・回数 2か月/5回 治療費用 91,800円(税込) リスク・副作用 一時的な知覚過敏 Post Share Hatena LINE RSS feedly Pin it note 症例3 前の記事
コメント