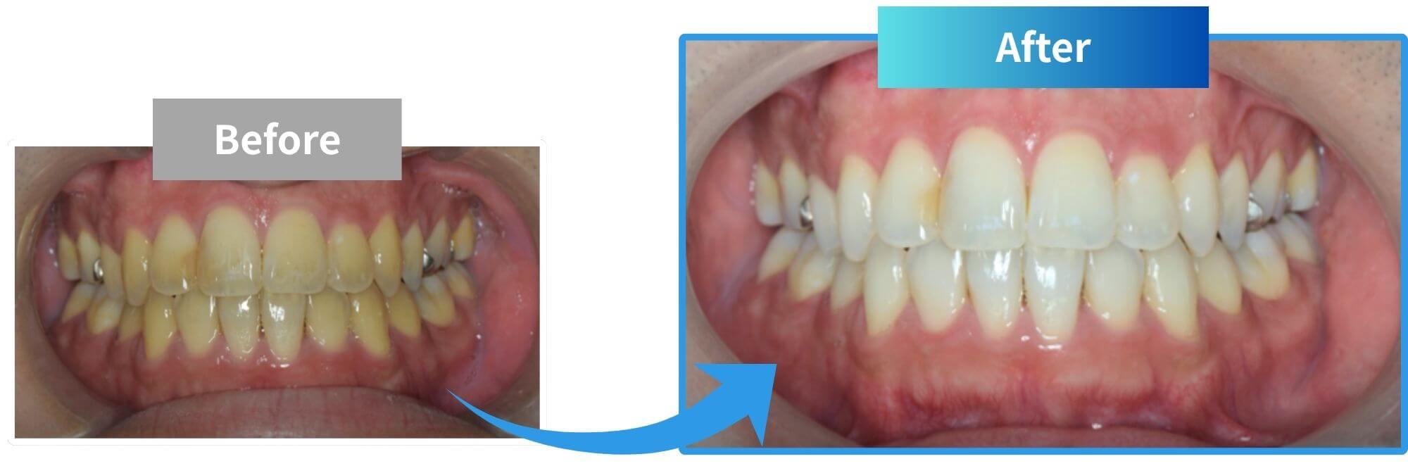
症例 症例3 2026.04.20 LINE note 主訴・動機 矯正治療を終えたので、ホワイトニングがしたい。 年齢・性別 20代・男性 施術内容 キラットプレミアムプラン ・オフィスホワイトニング4回 ・ホームホワイトニング2か月分 ・プロフェッショナルクリーニング1回 治療期間・回数 2か月/5回 治療費用 93,500円(税込) リスク・副作用 一時的な知覚過敏、既存の充填物と色の不一致 Post Share Hatena LINE RSS feedly Pin it note 症例2 前の記事 症例4 次の記事
コメント